循環器外来
循環器外来とは
心臓・血管を中心に循環器疾患の診療を行います。
最新の検査機器と、専門医による的確な診断・治療をお約束します。
胸が痛い、動悸がする、息苦しいなどの症状がある、健診で引っかかってしまったなど、お気軽にご相談ください。
担当医
内科(循環器科)

朝倉 貞二
(あさくら ていじ)
略歴
- 昭和52年 信州大学医学部卒業
- 昭和52年 東京女子医科大学 心臓血管外科
- 昭和54年 心臓病センター榊原病院
- 昭和55年 福山循環器病院
- 昭和63年 公立陶生病院 心臓血管外科部長
- 平成13年 名古屋徳洲会病院 院長
- 平成21年 東海記念病院 心臓血管外科部長
- 平成24年 千秋病院 循環器科部長
- 平成26年 名古屋共立病院 顧問
- 平成27年 伊藤整形・内科 あいちスポーツ・人工関節クリニック 内科部長(循環器科担当)
学会認定専門医など
- 日本血管外科学会 血管内治療医
- 日本心臓血管外科学会 専門医
- 日本外科学会 専門医
対象
心不全や心筋梗塞をはじめとした心臓疾患、大動脈瘤や下肢静脈瘤などの血管疾患、高血圧、不整脈といった異常に対応しています。
虚血性心疾患について
心臓の周りには冠動脈と言って、心臓に栄養を与える血管が存在します。動脈硬化が進むと冠動脈の通り道が狭くなってしまい、心臓に栄養が十分与えられず、働きが悪くなります。この状態のことを狭心症といいます。心筋梗塞は、この冠動脈の中に血栓という血液の塊ができて詰まってしまい血流が途絶えた状態を指します。この狭心症と心筋梗塞を合わせた呼び名が虚血性心疾患です。
虚血性心疾患の発作が起こった場合、突然、胸痛や胸の圧迫感が現れるのが特徴です。体の深い所、胸から背中に棒で付き抜かれたような強い痛みを感じるとされています。
もし、このような症状が起きた場合がすぐ医療機関を受診し、適切な治療を受けましょう。
治療を受けず放置した場合、最悪死亡する恐れがあります。
検査について
虚血性心疾患の原因の一つは動脈硬化です。そのため病気の予防には動脈硬化を予防することが大事になります。予防のためにまずは、ご自身の動脈硬化の進み具合を把握することから始めましょう。
全医会グループでは動脈硬化を把握するために以下のような検査を行っています。
冠動脈CT検査(非造影)
冠動脈の石灰化を測定するCT検査になります。 低被ばくで、造影剤を使わない、比較的簡便な検査です。カルシウムスコアという冠動脈全体(心臓全体)の動脈硬化を反映する指標 を用いて評価します。
すでに胸部症状がある方や上記の検査で異常が見られた方には冠動脈造影CT検査を行っています。
ABI検査
手と足の血圧の比較や脈波の伝わり方を調べることで、動脈硬化の程度を数値として表します。
これにより動脈硬化の程度や早期血管障害を検出することができます。
冠動脈CT検査(造影)
虚血性心疾患(狭心症や心筋梗塞)の確定診断をするための検査になります。
造影剤を腕の静脈から注入し、CT検査を行います。検査時間は15分程になります。
その他の検査
負荷心電図
階段を昇り降りして負荷をかけ、心電図変化をみます。
主に狭心症疑いの方に行います。
ホルター心電図
24時間心電図を記録する検査です。
一日にどのくらい不整脈が出ているかを調べます。
胸部症状や不整脈の症状がある方に行います。
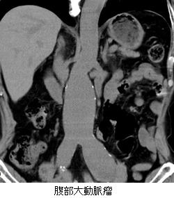
腹部CT
腹部に重点を置いたCT検査になります。
メタボ(皮下脂肪や内臓脂肪)の状態や腹部大動脈瘤、腎臓や肝臓等の疾患を診断することが可能です。
血液検査
脂質系や肝臓、腎臓、糖尿病等さまざまな血液項目を測定することが可能です。状況にもよりますが、当日検査結果を得ることが出来ます。
※項目によっては外注検査になりますので、結果が後日になる場合があります。ご了承ください。
健診のご案内
全医会グループでは併設の健診センターにて、脳ドックや心臓ドックなどの各種健診も承っております。
