股関節包炎に対する再生医療SPINE REGENERATION
股関節包炎に対する乳歯髄幹細胞上清液の抗炎症作用

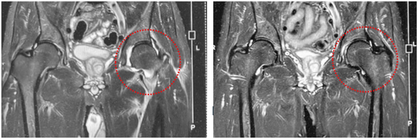
左図:股関節内水腫 → 右図:股関節内水腫が3ヶ月後に消失

左図:股関節周辺筋群炎症波及 → 右図:周囲筋群への炎症が消失
乳歯髄幹細胞培養上清液には、体の回復を助ける成分が多く含まれており、炎症をしずめる働きがあります。そのため、関節にたまった水(関節内水腫)や、周囲の筋肉に広がった炎症をやわらげ、回復を促します。この方は強い痛みのため歩くことが困難でしたが、培養上清液の注射を5回行った結果、MRI画像と症状の両方が改善し、日常生活を問題なく送れるようになりました。
生理活性物質は炎症を抑え、痛みを軽減させる
当院では、自家・他家iPS細胞由来因子(iPSF)、自己脂肪由来幹細胞、幹細胞培養上清液、血小板APSの4種類を治療に用いています。いずれも成長因子やサイトカインなどの生理活性物質を分泌し、炎症を抑えて痛みを軽減するとともに、損傷した組織の修復を促します。
ただし、血小板PRP(APS)は50歳以降では血小板機能が低下しやすいため、高齢の方には自家・他家iPSF ≧ 自己脂肪由来幹細胞 > 幹細胞培養上清液 > 血小板APSの順で、効果の強さを考慮した使用が適しています。また、これらを組み合わせて併用することで、より高い効果が期待できます。通常は1回の投与で十分な効果が得られることも多いですが、変形性股関節症では複数回の反復治療が必要となってきます。